「PESCJ認定医」が在籍

「精密」根管治療で、
再発や抜歯を回避します。
- 視野を拡大する「マイクロスコープ」
- 立体的に病巣を捉える「CT装置」
- 無菌治療を実現する「ラバーダム防湿」
当院では「保険」「自費」どちらでも対応可能となっております。
ペンシルバニア大学のスタディグループ(PESCJ)で認定医を取得した歯科医師が対応する場合は「自費」治療とさせていただいております。
※自費による治療費用は8~16万円で、部位と症状により異なります。


「精密」根管治療で、
再発や抜歯を回避します。
当院では「保険」「自費」どちらでも対応可能となっております。
ペンシルバニア大学のスタディグループ(PESCJ)で認定医を取得した歯科医師が対応する場合は「自費」治療とさせていただいております。
※自費による治療費用は8~16万円で、部位と症状により異なります。
当院が力を入れている「精密根管治療」は、多くの患者さんにご好評いただいております。その最大の理由は、再発率の低さです。以下に示したのは当院が行う「精密根管治療」と「一般的な根管治療」の違いです
| 一般根管治療 | 精密根管治療 | |
|---|---|---|
| 適用 | 保険診療のルールエビデンスに基づかない | 北米の歯内療法専門医に準ずる |
| 費用 | 安い(数千円) | 高い(数万~数十万円) |
| 1回の予約時間 | 30分以内のことが多い | 60~90分 |
| 通院回数 | 多い | 少ない(1~3回) |
| マイクロスコープ | 使用しないことが多い | 高性能マイクロスコープを使用 |
| ラバーダム防湿 | しないことが多い | 必ずする |
| 成功率 | 50%以下 保存できる神経も時間やコスト・技術・器具の問題から神経を取るケースになりやすい | 根管(初回)治療 90%以上 治療 60~80% |
データが示すように、当院が行っている「精密根管治療」を行った場合、成功率は初回で90%以上、再治療でも60~80%です。

精密な根管治療を行い、かつ、精度の高い被せ物を施した場合、成功率は非常に高まります。
ご相談に来られる患者さんの中には「他の歯科医院で何度も根管治療を繰り返している」「抜歯を宣告されてしまった」「根管治療をしたのに歯が痛む」といったお悩みを持つ方がいらっしゃいます。
根管治療の成功率は、歯科医院の設備レベルや技術によって違います。私たちは、再発率を限りなくゼロに近づけるための努力を惜しみません。「もう抜歯をするしかないのかも」と諦めている方は、まずは一度ご相談ください。可能性はまだ残されています。


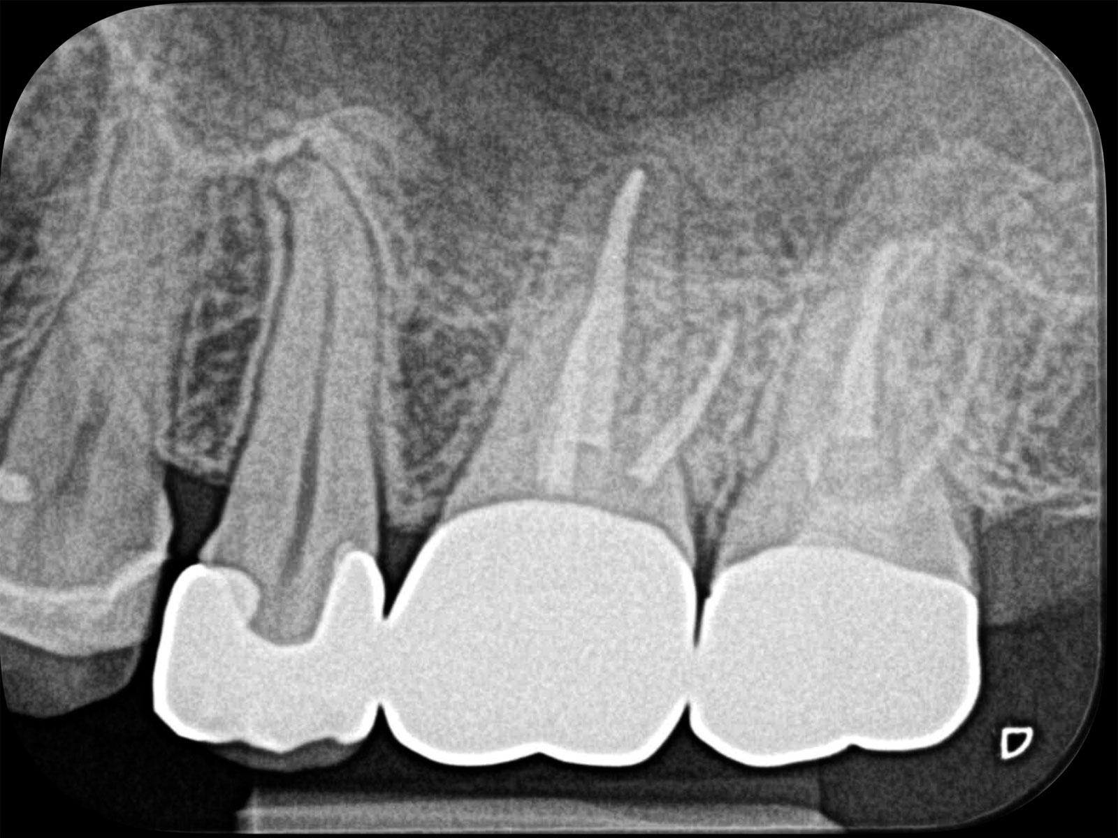
主訴: 噛むと痛い、奥歯が違和感ある
保険治療では発見することが難しい4つ目の神経を
歯を大きく削らずに見つけられます。


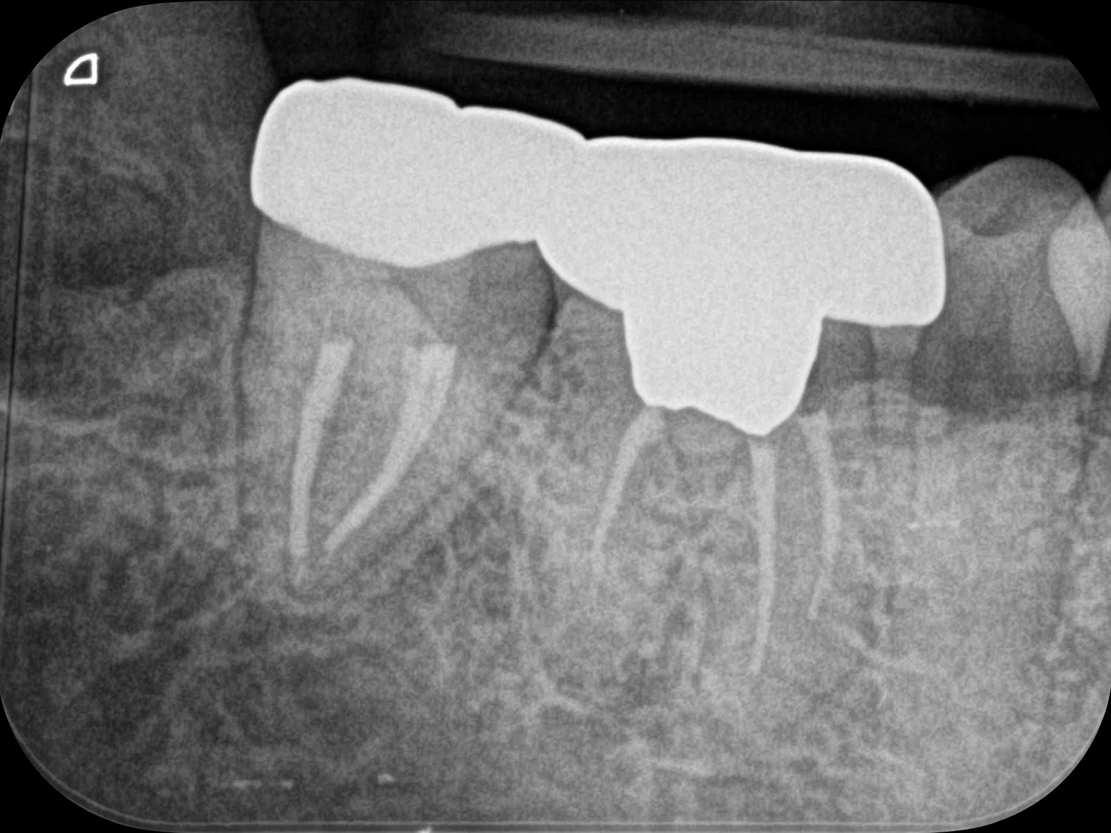
主訴: 右下がしみて痛い。
右下7根の根幹治療と親知らずの抜歯


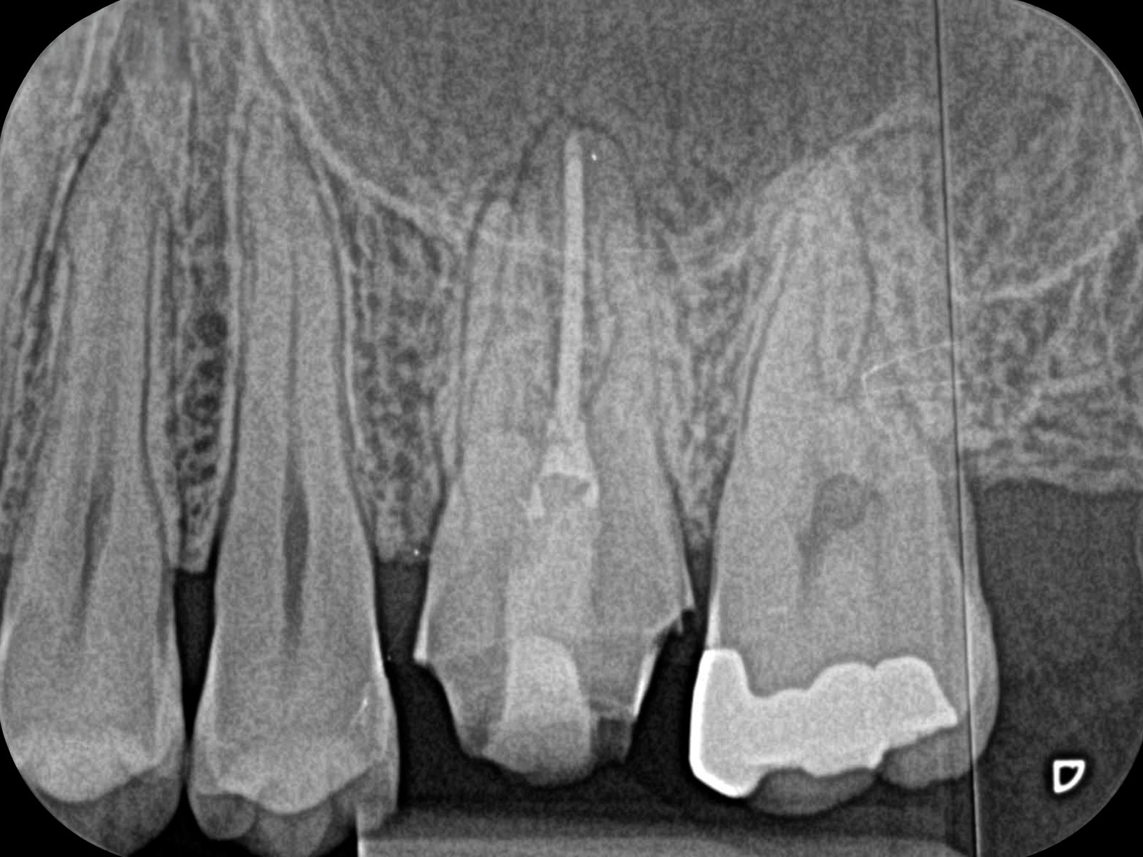
主訴: 噛むと痛い、左で食べれない。他の病院で神経が見つからない。根の先に病気がある。
通常だと手立てがなく、抜歯しかない歯も外科(根尖切除術)で治すことができます。
根管治療の精度を高めるには、相応の設備や器具が揃っていなければなりません。以下では、実際に私たちが使っている「マイクロスコープ」「CT装置」「ニッケルチタンファイル」について詳しく解説します。

日本の歯科医院では、まだまだ導入数の少ない「マイクロスコープ」。マイクロスコープは、「歯科用顕微鏡」とも呼ばれ、なんと最大で20倍の視野にまで拡大することができます。
もともと口の中は非常に暗い場所ですから、肉眼はもちろん、通常の歯科用ルーペではとても精密な治療はできません。しかしマイクロスコープなら、根管のような小さな穴でもクリアな視界を確保することが可能です。
下図は肉眼とマイクロスコープを比較したものです。視野の精度の違いが一目瞭然であることがおわかりいただけるかと思います。


下図はマイクロスコープを使って実際に処置したものです。精密な治療により、黒い影(根尖病巣)がきれいになくなっています。


また、マイクロスコープの利用で治療効率が高まることで、来院回数も減らすことも可能です。

「CT装置」は、様々な方向から放射線を当てることで立体的な画像を得る特殊装置です。あご・歯・病巣の位置を3D化できるため、通常のレントゲンでは把握できなかった細部の情報を得ることが可能となります。


丸の部分が病巣です。CT画像によって、左の画像(Before)では黒く映っている病巣が右の画像(After)ではなくなっていることが確認できます。レントゲン画像ですと、ここまでクリアに写りませんので、病巣を見落としてしまう可能性があります。

「ファイル」とは、細長いヤスリのような器具のことです。トンネル状になっている根管にすべりこませ、虫歯菌を削るために用います。
一般的な歯科医院では「ステンレスファイル」を使っていますが、柔軟性に欠け、複雑な形状の根管に届かないという最大の弱点があります。
一方で当院では「ニッケルチタンファイル」の使用にこだわっています。ニッケルチタンファイルは形状記憶素材から出来ており、曲がりくねった根管にもスルスルと入り込ませることが可能です。
治療中、根管内にその唾液が流れ込んでしまうと、再び細菌が増殖を始めてしまうことになります。再発を防止するためには「無菌」での治療体制にも力を入れなければなりません。

「ラバーダム」とはゴムで出来たシートのことです。根管治療を行う歯以外をラバーダムで覆い、唾液の混入を防ぎます。ラバーダムを使うか使わないかで、根管治療の成功率が大きく変わるといっても過言ではありません。
海外では当然のように使用されていますが、日本では「採算が合わない」という理由であえてラバーダムを使わない歯科医院が多いといわれています。そんな中で私たちは、本気で「無菌」の根管治療に取り組むために、ラバーダムを採用しています。

根管内をファイルで削るため、当然ですが根管内には“削りかす”が出てしまいます。その削りかすに潜む細菌がまた悪さをしないために、徹底的に除去しなければなりません。
そこで役立つのが「次亜塩素酸ナトリウム」です。次亜塩素酸ナトリウムは、根管内に残っている削りかすを溶かし、同時に殺菌する効果があります。歯に詰め物をする前に、必ず使用します。

根管内をきれいに清掃したら、最後の段階として「根管充填」を行います。空洞になった根管内を埋めて、二度と細菌が繁殖しないようにする重要な処置です。
当院では「MTAセメント」という、非常に密閉性の高い歯科用セメントを採用しています。
「強アルカリ性による高い殺菌効果」「膨張性による高い密閉効果」「生体親和性による周辺組織の修復効果」といった優れた特徴があり、世界中で支持されています。
通常の根管治療のアプローチでは治せない症例もあります。しかしそれでも抜歯を回避できる可能性は残されています。それが「歯根端切除術」です。

歯根端切除術は、局所麻酔で歯茎を切開し、歯の横側に穴を空け、歯の根の先端に溜まっている病巣を除去する方法です。
その後は「逆根管充填」という高度な処置を行っていきます。逆根管充填とは、通常の逆側、すなわち歯の根の先端側から隙間を埋めていく処置のことです。相応の経験と技術を要します。
治療後の歯を長く使い続けられるようにすることも含めて、歯科医師の責任です。以下では、審美性と耐久性に優れている被せ物の土台「ファイバーコア」をご紹介します。
ファイバーコアとは、特殊なプラスチックで出来た、厚生労働省認可の新世代の素材です。天然の歯のようなしなやかさと色合いがあり、外からの衝撃に強いという特徴があります。





ファイバーコアが美しいとされる理由が「光透過性」です。光を透過するため、どの角度からでも自然な見た目になります。
上の図は、ファイバーコア(左)と一般の金属コア(右)に裏側から光を当てたときの比較です。ご覧のように、違いが明らかです。

外から強い力が加わっても、ファイバーコアは折れにくいことで知られます。「しなる」性質があるからです。一方で、通常用いられる金属コアは、しなることができないため、衝撃が加わると破折のリスクが高まります。
根管治療は、一度で完治するのが理想です。
再治療を繰り返すほど成功率が下がり、抜歯のリスクが上昇するからです。

当院が目指すのは「再発しない根管治療」。
抜歯を回避して、いつまでも自分の歯で食事を楽しめる生活を応援します。
当院では、患者さんが抱えていらっしゃるお口のお悩みや疑問・不安などにお応えする機会を設けております。どんなことでも構いませんので、私たちにお話ししていただけたらと思います。
ご興味がある方は下記からお問い合わせください。
